Disk pil ve lego parçası yutan bebek ameliyatla hayata döndü
Disk pil ve lego parçası yutan bebek ameliyatla hayata döndü
Kayseri'de 15 aylık A.Y.Ç.'nin yemek borusuna kaçan düğme pil ile lego oyuncak parçası, Kayseri Şehir Hastanesi'de yapılan 3 saatlik operasyonla çıkarıldı.
Haber Giriş Tarihi: 02.11.2025 14:52
Haber Güncellenme Tarihi: 02.11.2025 14:54
Kaynak:
Bursada Bugün
Kayseri'de 15 aylık A.Y.Ç.'nin yemek borusuna, evde oyun oynadığı sırada düğme pil ve lego oyuncak parçası kaçtı.
O sırada yanında olan 4 yaşındaki kardeşi, 'Kardeşim lego yuttu' diyerek annesini çağırdı. A.Y.Ç.'nin ağızına bakan anne Tuğba Yılmaz, parçayı göremeyince dışkısından çıkacağını düşündü. Bir süre sonra A.Y.Ç.'nin yutma güçlüğü çektiğini gören Tuğba Yılmaz, Kayseri Şehir Hastanesi'ne başvurdu.
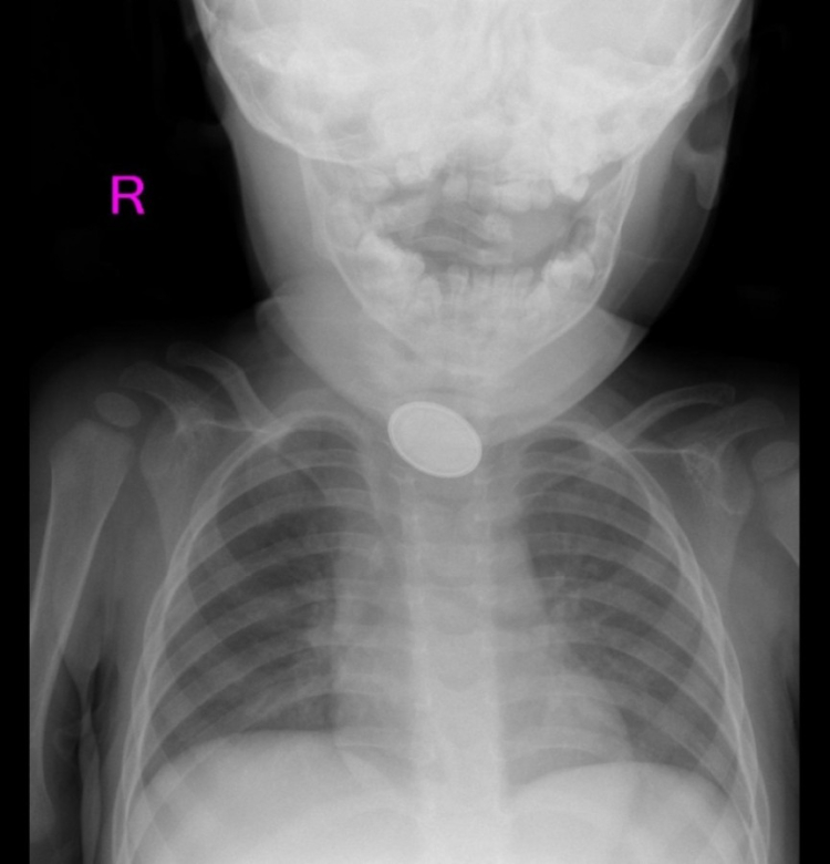
A.Y.Ç.'ye yapılan röntgende, yemek borusunda düğme pil ve lego parçası oyuncağa rastlandı. Kız bebek A.Y.Ç., Kayseri Şehir Hastanesi Çocuk Cerrahisi ve Ürolojisi Anabilim Dalı Başkanı Doç. Dr. Mustafa Erman Dörterler ve ekibi tarafından ameliyata alındı.
Yaklaşık 3 saatlik süren operasyonun ardından A.Y.Ç.'nin yemek borusuna kaçan düğme pil ile lego oyuncak parçası çıkarıldı.
"Disk pil, yemek borusuna yapışmış ve delmek üzereydi"
Kayseri Şehir Hastanesi Çocuk Cerrahisi ve Ürolojisi Anabilim Dalı Başkanı Doç. Dr. Mustafa Erman Dörterler şu bilgiyi paylaştı:
"Hastamız 15 aylık bir bebek. Hastamız, disk pil ve beraberinde bir lego parçası yutmuş. Pili ve lego parçasını yutmasının üzerinden yaklaşık 6-7 saat geçmişti. Bu durumlarda dakika ve zaman çok önemli. 2 saatten sonra çok ciddi sıkıntılar oluşturabilecek hatta ölümle sonuçlanabilecek durumlarla karşı karşıya kalmaktayız. Çocuğa, hızlı ve dikkatli bir şekilde müdahale ettik. Çünkü zaman ilerlediği için disk pil, yemek borusuna yapışmış ve delmek üzereydi. Dikkatli şekilde özenerek çıkarmaya çalıştık. Çocuğumuzun yoğun bakımdaki 2 günlük takip süreci devam ettikten sonra servisimize aldık. Şu an gayet iyi."
"Ailelerin büyük ve iri parçalı oyuncak seçmeleri gerekiyor"
Ailelere uyarılarda bulunan Doç. Dr. Dörterler, "Ailelere şunu söylemek istiyorum. Çocuklar, 9 aydan sonra ellerine aldıkları herhangi bir cismi ağızlarına götürmekteler. Bu yüzden bu tür vakalara genellikle 1-3 yaş aralığında daha sık rastlamaktayız. Aileler, çocuklara oyuncak seçimi yaparken büyük ve iri parçalı oyuncak seçmeleri gerekiyor. Pilleri, çocukların uzanamayacağı yerlere koymaları gerekiyor. Çocuklara 3 yaşından önce kuruyemiş yedirmemeliler. Kuruyemiş, nefes borusuna kaçıp ani ölümlere neden olabiliyor. Bu çocuğumuz şanslıydı; ama her çocuk bu kadar şanslı olmayabilir. Aileleri her gördüğüm yerde uyarmaya çalışıyorum. Bu çocuğumuz kurtuldu. İnşallah böyle vakalarla karşılaşmayız. Aileler de bu konuda daha dikkatli olsunlar" dedi.
Sizlere daha iyi hizmet sunabilmek adına sitemizde çerez konumlandırmaktayız. Kişisel verileriniz, KVKK ve GDPR
kapsamında toplanıp işlenir. Sitemizi kullanarak, çerezleri kullanmamızı kabul etmiş olacaksınız.
En son gelişmelerden anında haberdar olmak için 'İZİN VER' butonuna tıklayınız.
Disk pil ve lego parçası yutan bebek ameliyatla hayata döndü
Kayseri'de 15 aylık A.Y.Ç.'nin yemek borusuna kaçan düğme pil ile lego oyuncak parçası, Kayseri Şehir Hastanesi'de yapılan 3 saatlik operasyonla çıkarıldı.
Kayseri'de 15 aylık A.Y.Ç.'nin yemek borusuna, evde oyun oynadığı sırada düğme pil ve lego oyuncak parçası kaçtı.
O sırada yanında olan 4 yaşındaki kardeşi, 'Kardeşim lego yuttu' diyerek annesini çağırdı. A.Y.Ç.'nin ağızına bakan anne Tuğba Yılmaz, parçayı göremeyince dışkısından çıkacağını düşündü. Bir süre sonra A.Y.Ç.'nin yutma güçlüğü çektiğini gören Tuğba Yılmaz, Kayseri Şehir Hastanesi'ne başvurdu.
A.Y.Ç.'ye yapılan röntgende, yemek borusunda düğme pil ve lego parçası oyuncağa rastlandı. Kız bebek A.Y.Ç., Kayseri Şehir Hastanesi Çocuk Cerrahisi ve Ürolojisi Anabilim Dalı Başkanı Doç. Dr. Mustafa Erman Dörterler ve ekibi tarafından ameliyata alındı.
Yaklaşık 3 saatlik süren operasyonun ardından A.Y.Ç.'nin yemek borusuna kaçan düğme pil ile lego oyuncak parçası çıkarıldı.
"Disk pil, yemek borusuna yapışmış ve delmek üzereydi"
Kayseri Şehir Hastanesi Çocuk Cerrahisi ve Ürolojisi Anabilim Dalı Başkanı Doç. Dr. Mustafa Erman Dörterler şu bilgiyi paylaştı:
"Hastamız 15 aylık bir bebek. Hastamız, disk pil ve beraberinde bir lego parçası yutmuş. Pili ve lego parçasını yutmasının üzerinden yaklaşık 6-7 saat geçmişti. Bu durumlarda dakika ve zaman çok önemli. 2 saatten sonra çok ciddi sıkıntılar oluşturabilecek hatta ölümle sonuçlanabilecek durumlarla karşı karşıya kalmaktayız. Çocuğa, hızlı ve dikkatli bir şekilde müdahale ettik. Çünkü zaman ilerlediği için disk pil, yemek borusuna yapışmış ve delmek üzereydi. Dikkatli şekilde özenerek çıkarmaya çalıştık. Çocuğumuzun yoğun bakımdaki 2 günlük takip süreci devam ettikten sonra servisimize aldık. Şu an gayet iyi."
"Ailelerin büyük ve iri parçalı oyuncak seçmeleri gerekiyor"
Ailelere uyarılarda bulunan Doç. Dr. Dörterler, "Ailelere şunu söylemek istiyorum. Çocuklar, 9 aydan sonra ellerine aldıkları herhangi bir cismi ağızlarına götürmekteler. Bu yüzden bu tür vakalara genellikle 1-3 yaş aralığında daha sık rastlamaktayız. Aileler, çocuklara oyuncak seçimi yaparken büyük ve iri parçalı oyuncak seçmeleri gerekiyor. Pilleri, çocukların uzanamayacağı yerlere koymaları gerekiyor. Çocuklara 3 yaşından önce kuruyemiş yedirmemeliler. Kuruyemiş, nefes borusuna kaçıp ani ölümlere neden olabiliyor. Bu çocuğumuz şanslıydı; ama her çocuk bu kadar şanslı olmayabilir. Aileleri her gördüğüm yerde uyarmaya çalışıyorum. Bu çocuğumuz kurtuldu. İnşallah böyle vakalarla karşılaşmayız. Aileler de bu konuda daha dikkatli olsunlar" dedi.
Kaynak: Bursada Bugün
Kontrolden çıkan pikap iş yerinin deposuna girdi
Çocukların motosiklet yolculuğu acı sonla bitti: 1 ölü, 1 yaralı
Uludağ'da ekiplerin kar mesaisi! Yolların kapanmaması için aralıksız çalışma...
Bir deprem de Bolu'da
Bursalı satranç büyükustası zirveye oynuyor! Gururlandıran başarı!
Van'da korkutan deprem
Yarım asırlık koleksiyon! Görenlerin tüyleri ürperiyor...
Yağmur beraberinde kazayı getirdi! Yolcu otobüsü devrildi...
Aracın kapılarına gizlenmiş kokaini 'Pako' buldu
41 yıl hapis cezası olan firari polisi görünce canına kıymaya çalıştı...
Bursa'da navigasyon hatası kazaya neden oldu! Yabancı kadın şoför büyük şok yaşadı...
Malatya'da kayıp yaşlı adamı arama çalışmaları sürüyor
Galatasaray'dan Göksenin Köksal açıklaması: Federasyona şikayet edilecek
Ağrı-Erzurum kara yolunda karla mücadele çalışmaları başladı
Nilüfer’de okul müdürü Yusuf Gözütok hayatını kaybetti